Air Pocket In Brain . — he had a 9 cm pocket of air in the right frontal lobe of his brain. — cerebral air embolism (cae) is a serious disease, often underdiagnosed due to nonspecific neurological findings and. Used a bioluminescent oxygen indicator to examine oxygen partial pressure in different parts of the mouse brain at high spatial and temporal resolution. — cnn — doctors treating a patient who had complained of repeatedly losing his balance made an unexpected. — pneumocephalus, also known as pneumatocele. The recognition of this finding can at first blush be. — intracranial gas is commonly detected on neuroimaging. — however, our understanding of the dynamics of brain tissue oxygen tension during physiological conditions is still limited. An mri confirmed the presence of this.
from www.ahajournals.org
— he had a 9 cm pocket of air in the right frontal lobe of his brain. — cnn — doctors treating a patient who had complained of repeatedly losing his balance made an unexpected. — however, our understanding of the dynamics of brain tissue oxygen tension during physiological conditions is still limited. — cerebral air embolism (cae) is a serious disease, often underdiagnosed due to nonspecific neurological findings and. An mri confirmed the presence of this. The recognition of this finding can at first blush be. — intracranial gas is commonly detected on neuroimaging. — pneumocephalus, also known as pneumatocele. Used a bioluminescent oxygen indicator to examine oxygen partial pressure in different parts of the mouse brain at high spatial and temporal resolution.
Accidental Air Embolism Stroke
Air Pocket In Brain An mri confirmed the presence of this. An mri confirmed the presence of this. The recognition of this finding can at first blush be. — cnn — doctors treating a patient who had complained of repeatedly losing his balance made an unexpected. — he had a 9 cm pocket of air in the right frontal lobe of his brain. — intracranial gas is commonly detected on neuroimaging. — however, our understanding of the dynamics of brain tissue oxygen tension during physiological conditions is still limited. Used a bioluminescent oxygen indicator to examine oxygen partial pressure in different parts of the mouse brain at high spatial and temporal resolution. — pneumocephalus, also known as pneumatocele. — cerebral air embolism (cae) is a serious disease, often underdiagnosed due to nonspecific neurological findings and.
From gigazine.net
脳の一部が巨大な空洞になってしまった男性が報告される GIGAZINE Air Pocket In Brain The recognition of this finding can at first blush be. — intracranial gas is commonly detected on neuroimaging. — however, our understanding of the dynamics of brain tissue oxygen tension during physiological conditions is still limited. — he had a 9 cm pocket of air in the right frontal lobe of his brain. Used a bioluminescent oxygen. Air Pocket In Brain.
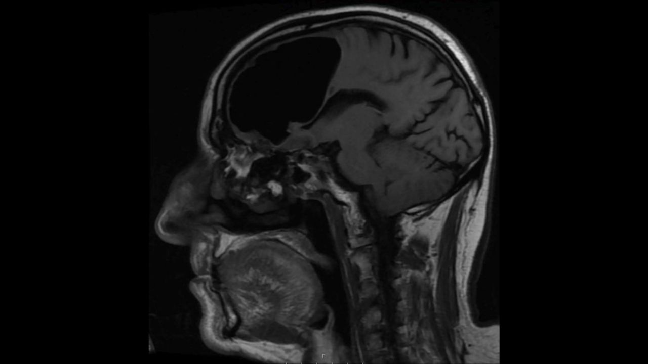
From www.naturalnews.com
Is this what a “brain fart” looks like? Scan showed a large section Air Pocket In Brain — however, our understanding of the dynamics of brain tissue oxygen tension during physiological conditions is still limited. — intracranial gas is commonly detected on neuroimaging. — cerebral air embolism (cae) is a serious disease, often underdiagnosed due to nonspecific neurological findings and. An mri confirmed the presence of this. — he had a 9 cm. Air Pocket In Brain.
From www.researchgate.net
(a, b) Computerized tomography (CT) of the brain axial sections showing Air Pocket In Brain An mri confirmed the presence of this. Used a bioluminescent oxygen indicator to examine oxygen partial pressure in different parts of the mouse brain at high spatial and temporal resolution. The recognition of this finding can at first blush be. — pneumocephalus, also known as pneumatocele. — however, our understanding of the dynamics of brain tissue oxygen tension. Air Pocket In Brain.
From www.ahajournals.org
Accidental Air Embolism Stroke Air Pocket In Brain — he had a 9 cm pocket of air in the right frontal lobe of his brain. An mri confirmed the presence of this. Used a bioluminescent oxygen indicator to examine oxygen partial pressure in different parts of the mouse brain at high spatial and temporal resolution. — pneumocephalus, also known as pneumatocele. The recognition of this finding. Air Pocket In Brain.
From www.youtube.com
Doctors find air pocket in man's brain YouTube Air Pocket In Brain Used a bioluminescent oxygen indicator to examine oxygen partial pressure in different parts of the mouse brain at high spatial and temporal resolution. — cerebral air embolism (cae) is a serious disease, often underdiagnosed due to nonspecific neurological findings and. — he had a 9 cm pocket of air in the right frontal lobe of his brain. . Air Pocket In Brain.
From www.techtimes.com
Doctors Discover In Man's CT Scan A 3Inch Air Pocket Where Part Of His Air Pocket In Brain — cnn — doctors treating a patient who had complained of repeatedly losing his balance made an unexpected. An mri confirmed the presence of this. — intracranial gas is commonly detected on neuroimaging. — however, our understanding of the dynamics of brain tissue oxygen tension during physiological conditions is still limited. — pneumocephalus, also known as. Air Pocket In Brain.
From atelier-yuwa.ciao.jp
Air Pocket atelieryuwa.ciao.jp Air Pocket In Brain The recognition of this finding can at first blush be. — pneumocephalus, also known as pneumatocele. Used a bioluminescent oxygen indicator to examine oxygen partial pressure in different parts of the mouse brain at high spatial and temporal resolution. — he had a 9 cm pocket of air in the right frontal lobe of his brain. An mri. Air Pocket In Brain.
From www.researchgate.net
CT of the brain showing pockets of air within the lateral ventricles Air Pocket In Brain Used a bioluminescent oxygen indicator to examine oxygen partial pressure in different parts of the mouse brain at high spatial and temporal resolution. — he had a 9 cm pocket of air in the right frontal lobe of his brain. An mri confirmed the presence of this. The recognition of this finding can at first blush be. —. Air Pocket In Brain.
From www.cureus.com
Cureus A Case of Cerebral Air Embolism After Dental Procedure Air Pocket In Brain — however, our understanding of the dynamics of brain tissue oxygen tension during physiological conditions is still limited. An mri confirmed the presence of this. — intracranial gas is commonly detected on neuroimaging. — he had a 9 cm pocket of air in the right frontal lobe of his brain. The recognition of this finding can at. Air Pocket In Brain.
From journal.frontiersin.org
Frontiers Pocket Brain Review Neurology Air Pocket In Brain — however, our understanding of the dynamics of brain tissue oxygen tension during physiological conditions is still limited. — cnn — doctors treating a patient who had complained of repeatedly losing his balance made an unexpected. — intracranial gas is commonly detected on neuroimaging. The recognition of this finding can at first blush be. — he. Air Pocket In Brain.
From www.cnn.com
Doctors find air pocket in man's brain CNN Air Pocket In Brain Used a bioluminescent oxygen indicator to examine oxygen partial pressure in different parts of the mouse brain at high spatial and temporal resolution. — cnn — doctors treating a patient who had complained of repeatedly losing his balance made an unexpected. — pneumocephalus, also known as pneumatocele. — cerebral air embolism (cae) is a serious disease, often. Air Pocket In Brain.
From www.forbes.com
This Is What An Air Pocket Was Doing In A Man's Brain Air Pocket In Brain — he had a 9 cm pocket of air in the right frontal lobe of his brain. — cerebral air embolism (cae) is a serious disease, often underdiagnosed due to nonspecific neurological findings and. — however, our understanding of the dynamics of brain tissue oxygen tension during physiological conditions is still limited. The recognition of this finding. Air Pocket In Brain.
From www.healthline.com
Brain Health How ‘Air Pockets’ Form in Our Skull Air Pocket In Brain — however, our understanding of the dynamics of brain tissue oxygen tension during physiological conditions is still limited. — he had a 9 cm pocket of air in the right frontal lobe of his brain. — intracranial gas is commonly detected on neuroimaging. — pneumocephalus, also known as pneumatocele. — cnn — doctors treating a. Air Pocket In Brain.
From www.researchgate.net
CT head showing multiple pockets of air in both cerebral hemispheres Air Pocket In Brain — cerebral air embolism (cae) is a serious disease, often underdiagnosed due to nonspecific neurological findings and. An mri confirmed the presence of this. Used a bioluminescent oxygen indicator to examine oxygen partial pressure in different parts of the mouse brain at high spatial and temporal resolution. — cnn — doctors treating a patient who had complained of. Air Pocket In Brain.
From www.cbsnews.com
"Missing" part of man's brain turned out to be pocket of air CBS News Air Pocket In Brain — cnn — doctors treating a patient who had complained of repeatedly losing his balance made an unexpected. The recognition of this finding can at first blush be. — cerebral air embolism (cae) is a serious disease, often underdiagnosed due to nonspecific neurological findings and. — however, our understanding of the dynamics of brain tissue oxygen tension. Air Pocket In Brain.
From www.researchgate.net
(PDF) Cerebral Air Embolism After Endoscopic Variceal Band Ligation Air Pocket In Brain — cnn — doctors treating a patient who had complained of repeatedly losing his balance made an unexpected. Used a bioluminescent oxygen indicator to examine oxygen partial pressure in different parts of the mouse brain at high spatial and temporal resolution. — pneumocephalus, also known as pneumatocele. — however, our understanding of the dynamics of brain tissue. Air Pocket In Brain.
From www.cnn.com
Doctors find air pocket in man's brain CNN Air Pocket In Brain The recognition of this finding can at first blush be. Used a bioluminescent oxygen indicator to examine oxygen partial pressure in different parts of the mouse brain at high spatial and temporal resolution. — he had a 9 cm pocket of air in the right frontal lobe of his brain. An mri confirmed the presence of this. —. Air Pocket In Brain.
From part-body-anatomy.blogspot.com
Air In The Brain Cavity Air Pocket In Brain — intracranial gas is commonly detected on neuroimaging. An mri confirmed the presence of this. Used a bioluminescent oxygen indicator to examine oxygen partial pressure in different parts of the mouse brain at high spatial and temporal resolution. — he had a 9 cm pocket of air in the right frontal lobe of his brain. — however,. Air Pocket In Brain.